Espolón Calcáneo ó Fascitis Plantar

El dolor en los talones es una causa frecuente de consulta en traumatología. Las causas son múltiples, pero la más frecuente es la fascitis plantar.
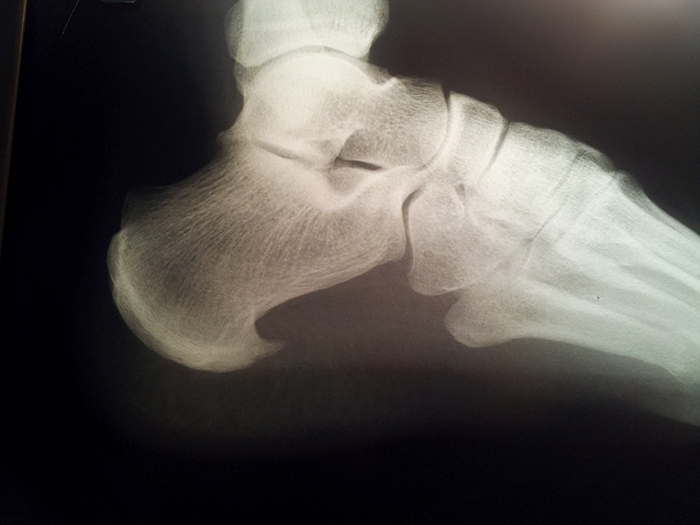
Es la inflamación crónica de la fascia plantar, una estructura que está en la planta del pie y que le confiere estabilidad. En algunos casos está asociada a la formación de una espícula ósea llamada espolón calcáneo.
Una de cada cuatro personas lo va a sufrir en su vida. Es la primera causa de consulta por dolor del talón.
Se desconoce la causa con precisión pero existe relación con la obesidad y con la edad. Es más frecuente en personas de 40 a 70 años y personas que pasan mucho tiempo de pie. Personas con un tendón de Aquiles poco elástico o breve tienen mayor tendencia.
El tratamiento inicial consiste en medidas generales como bajar de peso, uso de plantillas, ejercicios de estiramiento, férulas de uso nocturno y antiinflamatorios no esteroideos. Si estas medidas fallan se decide el tratamiento quirúrgico que consiste en la liberación de la fascia plantar.
Sin Comentarios